TASK 1: Multi-contrast CMR reconstruction


Background

Multi-contrast CMR imaging, which involves acquiring multiple imaging sequences with different contrast weightings, provides valuable information for comprehensive cardiac structural and functional assessment. However, the acquisition of multiple contrast-weighted images significantly increases the scan time, leading to longer patient discomfort and greater susceptibility to motion artifacts. Therefore, to reduce image acquisition time, there is a growing need for data-efficient and reliable reconstruction methods to enable accelerated and high-quality multi-contrast CMR imaging. 

The goal of this challenge is to develop a contrast-universal model that can 1) provide high-quality image reconstruction for highly-accelerated uniform undersampling (acceleration factors are 4x, 8x and 10x, ACS not included for calculations); 2) being able to process multiple contrast reconstructions with different sequences, views, and scanning protocols using a single universal model. The proposed method is supposed to offer a unified framework that can handle various imaging contrasts, allowing for faster and more robust reconstructions across different CMR protocols.

Note: In TASK 1, participants are allowed to train three individual contrast-universal models to respectively reconstruct multi-contrast data at the aforementioned three acceleration factors; TrainingSet includes Cine, Aorta, Mapping, and Tagging; ValidationSet and TestSet include Cine, Aorta, Mapping, Tagging, and other two unseen contrasts (Flow2d and BlackBlood); the data size of Cine, Aorta, Mapping, Tagging, and Flow2d is 5D (nx,ny,nc,nz,nt); the data size of BlackBlood is 4D (nx,ny,nc,nz); the size of all undersampling masks is 2D (nx,ny), the central 16 lines (ny) are always fully sampled to be used as autocalibration signals (ACS).

Data

1) Scanner:   Siemens 3T MRI scanner (MAGNETOM Vida)

2) Image acquisition: We follow the recommendations of CMR exams reported in the previous publication (doi: 10.1007/s43657-02100018x, 10.1007/s43657-021-00018-x).

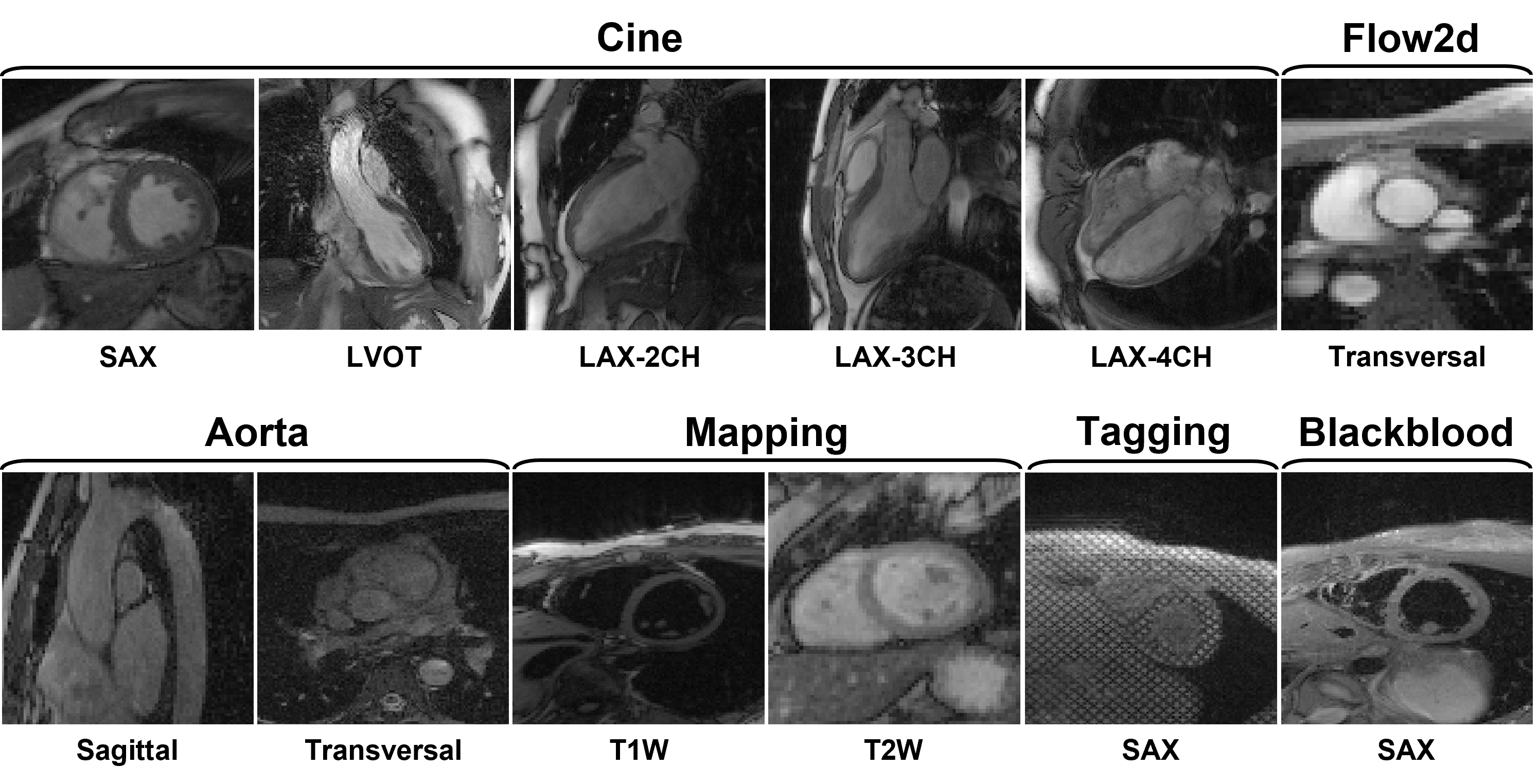
3) Dataset overview: The dataset will include multi-contrast k-space data, consisting of cardiac cine, T1/T2 mapping, tagging, phase-contrast (i.e., flow2d), and dark-blood imaging. It also includes imaging of different anatomical views like long-axis (LAX, including 2-chamber, 3-chamber, and 4-chamber), short-axis (SAX), left ventricul aroutflow tract (LVOT), and aortic (transversal and sagittal views).


4) Scan protocol: We use 'TrueFISP' sequence for cine, phase-constrast (i.e., flow2d), and tagging, and 'FLASH' sequence for T1/T2 mapping and dark-blood imaging. For T1/T2 mapping, signals are collected at the end of the diastole with ECG triggering. Typically, 5~15 slices are acquired for each contrast. The cardiac cycle is segmented into 12~25 phases with a temporal resolution of around 50 ms. Typical geometrical parameters include: spatial resolution 1.5×1.5 mm2, slice thickness 8.0 mm, and slice gap 4.0 mm.

5) Pre-processing:The raw k-space data exported from the scanner will be processed and transformed to '.mat' format using the script provided by our vendor. A readme file will be provided to describe the content and usage of the data.

Details of data types in Task1


Note: Undersampled and the fully sampled data share the same dimension. nx: matrix size in x-axis (k-space); ny: matrix size in y-axis (k-space); nc: coil array number (compressed to 10); nz: slice number (for SAX) or slice group (for LAX, i.e., 3CH, 2CH, and 4CH views); nt: temporal/parametric frame.

Details of mask types in Task1


Note: nx: matrix size in x-axis (k-space); ny: matrix size in y-axis (k-space); nt: temporal/parametric frame.

Taking multi-coil long-axis (LAX) cine as an example, the format of data is as follows:

1) Data in folder 'FullSample': cine_lax.mat
# cine with long-axis view (including 3CH, 2CH, and 4CH views within the nz dimension).
# variable name:
# 'kspace_full' for fully sampled kspace
# data type: complex kspace data with the dimensions (nx,ny,nc,nz,nt)
-nx: matrix size in x-axis (kspace)
-ny: matrix size in y-axis (kspace)
-nc: coil array number (compressed to 10)
-nz: slice number (for SAX) or slice group (for LAX, i.e., 3CH, 2CH, and 4CH views)
-nt: temporal/parametric frame

2) Data in folder 'UnderSample_Task1': cine_lax_kus_xxx.mat
# cine with long-axis view (including 3CH, 2CH, and 4CH views within the nz dimension).
# 'xxx' is the corresponding undersampling scenarios. For example, 'Uniform4' means uniform undersampling at acceleration factor 4x (ACS not included for calculations)
# variable name:
# 'kus' for undersampled kspace
# data type: complex kspace data with the dimensions (nx,ny,nc,nz,nt), the central 16 lines (ny) are always
fully sampled to be used as autocalibration signals (ACS)
-nx: matrix size in x-axis (kspace)
-ny: matrix size in y-axis (kspace)
-nc: coil array number (compressed to 10)
-nz: slice number (for SAX) or slice group (for LAX, i.e., 3CH, 2CH, and 4CH views)
-nt: temporal/parametric frame

3) Data in folder 'Mask_Task1': cine_lax_mask_xxx.mat
# undersampling mask with long-axis view, the mask is fixed among different nc, nz and nt.
# 'xxx' is the corresponding undersampling scenarios. For example, 'Uniform4' means uniform undersampling at acceleration factor 4x (ACS not included for calculations)
# variable name:
# "mask" for undersampling mask
# data type: 2D binary data with the dimensions (nx,ny), the central 16 lines (ny) are always fully sampled to be used as autocalibration signals (ACS)
-nx: matrix size in x-axis (kspace)
-ny: matrix size in y-axis (kspace)

Metrics & Ranking

Metrics:  
PSNR, SSIM and NMSE between reconstructed images and ground truth images (fully sampled data).

Ranking methods:  
During the testing and ranking phase, we will invite three radiologists to independently score the top five teams ranked by SSIM. The scoring will cover three aspects: image quality, image artifacts, and clinical utility. We will consider both the radiologists' scores and the SSIM results to generate a comprehensive ranking.
Participating teams are required to submit docker containers and process all the cases in the test set on our server. For the cases without valid output, we will assign it to the lowest value of metric.

Rules

1) To ensure the fairness of this challenge, you are only allowed to use the datasets provided by fastMRI, CMRxRecon2023, and CMRxRecon2024. Data augmentation based on the training dataset is allowed.

2) In TASK 1, participants are allowed to train three individual contrast-universal models to respectively reconstruct multi-contrast data at three acceleration factors.

Submission

The submission instructions will be released on the Synapse platform.