TASK 2: Random sampling CMR reconstruction


Background

CMR imaging is time-consuming due to the acquisition of a large amount of raw data in the k-space (raw signal measurement). To address this limitation, accelerated imaging techniques have been developed, which rely on sub-Nyquist undersampling the k-space data. Random (incoherent) undersampling of the k-space trajectory is one such approach that offers acceleration and potential for improved image quality. The need for a universal model therefore arises from the diverse sampling schemes of cardiac image acquisition: Different CMR protocols often require distinct k-space sampling trajectories and acceleration factors. Traditional reconstruction methods struggle to adapt to these variations, as they typically rely on sampling-specific algorithms. A universal model offers a unified framework that can handle different sampling trajectories and acceleration factors, providing flexibility and efficiency in the reconstruction process. This approach is necessary to achieve consistent and reliable reconstructions across diverse CMR imaging scenarios. 

The goal of this challenge is to develop a sampling-universal model that can robustly reconstruct CMR images 1) from different k-space trajectories (uniform, Guassian, and pseudo radial undersampling with temporal/parametric interleaving); 2) at different acceleration factors (acceleration factors from 4x to 24x, ACS not included for calculations). The proposed method is supposed to leverage deep learning algorithms to exploit the potential of random sampling, enabling faster acquisition times while maintaining high-quality image reconstructions.

Note: In TASK 2, participants are allowed to train only one universal model to reconstruct various data at the different undersampling scenarios (including different k-space trajectories: uniform, Guassian, and pseudo radial undersampling with temporal/parametric interleaving; and different acceleration factors: 4x, 8x, 12x, 16x, 20x, 24x, ACS not included for calculations); TrainingSet includes Cine, Aorta, Mapping, and Tagging; ValidationSet and TestSet also include Cine, Aorta, Mapping, and Tagging; the data size of Cine, Aorta, Mapping, and Tagging is 5D (nx,ny,nc,nz,nt); the size of all undersampling masks is 3D (nx,ny,nt), the central 16 lines (ny, in ktUniform and ktGaussian) or central 16x16 regions (nx*ny, in ktRadial) are always fully sampled to be used as autocalibration signals (ACS).


Data

1) Scanner:   Siemens 3T MRI scanner (MAGNETOM Vida)

2) Image acquisition: We follow the recommendations of CMR exams reported in the previous publication (doi: 10.1007/s43657-02100018x, 10.1007/s43657-021-00018-x).

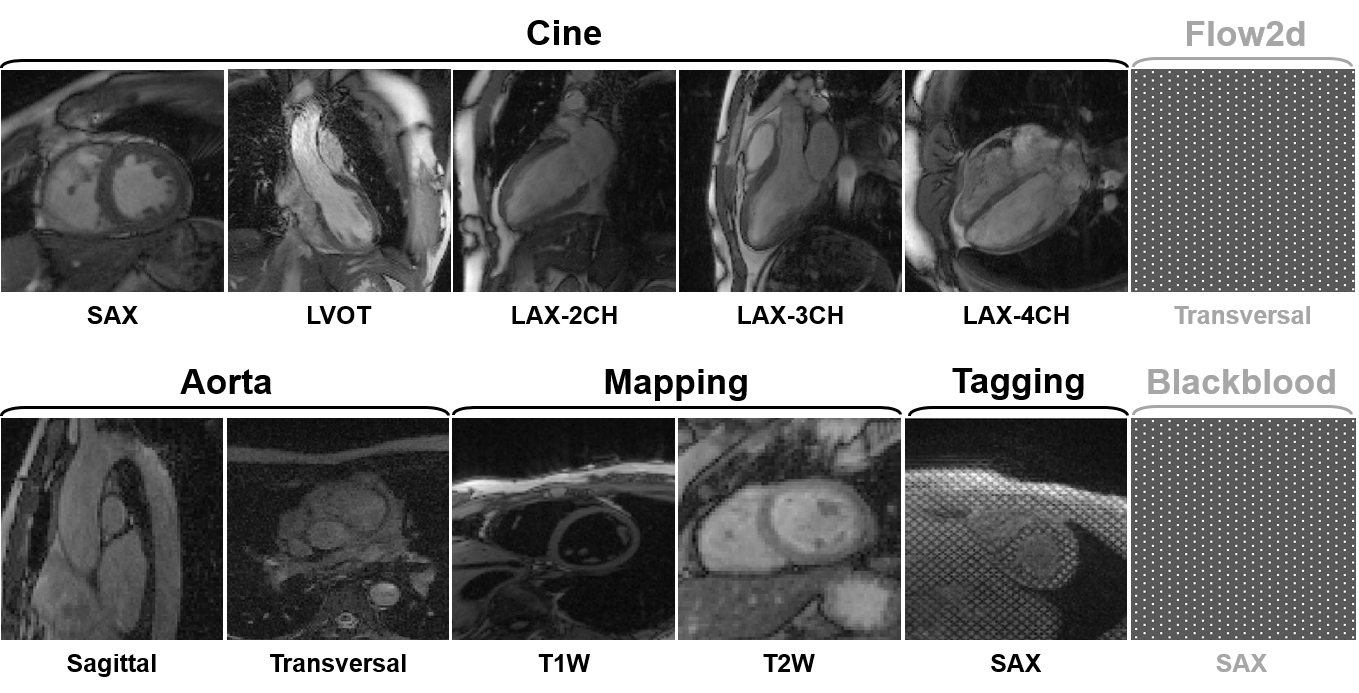
3) Dataset overview: The dataset will include multi-contrast k-space data, consisting of cardiac cine, T1/T2 mapping, tagging, phase-contrast (i.e., flow2d), and dark-blood imaging. It also includes imaging of different anatomical views like long-axis (LAX, including 2-chamber, 3-chamber, and 4-chamber), short-axis (SAX), left ventricul aroutflow tract (LVOT), and aortic (transversal and sagittal views).


4) Scan protocol: We use 'TrueFISP' sequence for cine, phase-constrast (i.e., flow2d), and tagging, and 'FLASH' sequence for T1/T2 mapping and dark-blood imaging. For T1/T2 mapping, signals are collected at the end of the diastole with ECG triggering. Typically, 5~15 slices are acquired for each contrast. The cardiac cycle is segmented into 12~25 phases with a temporal resolution of around 50 ms. Typical geometrical parameters include: spatial resolution 1.5×1.5 mm2, slice thickness 8.0 mm, and slice gap 4.0 mm.

5) Pre-processing:The raw k-space data exported from the scanner will be processed and transformed to '.mat' format using the script provided by our vendor. A readme file will be provided to describe the content and usage of the data.

Details of data types in Task2


Note: Undersampled and the fully sampled data share the same dimension. nx: matrix size in x-axis (k-space); ny: matrix size in y-axis (k-space); nc: coil array number (compressed to 10); nz: slice number (for SAX) or slice group (for LAX, i.e., 3CH, 2CH, and 4CH views); nt: temporal/parametric frame.

Details of mask types in Task2


Note: nx: matrix size in x-axis (k-space); ny: matrix size in y-axis (k-space); nt: temporal/parametric frame.

Taking multi-coil long-axis (LAX) cine as an example, the format of data is as follows:

1) Data in folder 'FullSample': cine_lax.mat
# cine with long-axis view (including 3CH, 2CH, and 4CH views within the nz dimension).
# variable name:
# 'kspace_full' for fully sampled kspace
# data type: complex kspace data with the dimensions (nx,ny,nc,nz,nt)
-nx: matrix size in x-axis (kspace)
-ny: matrix size in y-axis (kspace)
-nc: coil array number (compressed to 10)
-nz: slice number (for SAX) or slice group (for LAX, i.e., 3CH, 2CH, and 4CH views)
-nt: temporal/parametric frame

2) Data in folder 'UnderSample_Task2': cine_lax_kus_xxx.mat
# cine with long-axis view (including 3CH, 2CH, and 4CH views within the nz dimension).
# 'xxx' is the corresponding undersampling scenarios. For example, 'ktUniform4' means uniform undersampling with temporal interleaving at acceleration factor 4x (ACS not included for calculations)
# variable name:
# 'kus' for undersampled kspace
# data type: complex kspace data with the dimensions (nx,ny,nc,nz,nt), the central 16 lines (ny) or central 16*16 regions (nx*ny) are always fully sampled to be used as autocalibration signals (ACS)
-nx: matrix size in x-axis (kspace)
-ny: matrix size in y-axis (kspace)
-nc: coil array number (compressed to 10)
-nz: slice number (for SAX) or slice group (for LAX, i.e., 3CH, 2CH, and 4CH views)
-nt: temporal/parametric frame

3) Data in folder 'Mask_Task2': cine_lax_mask_xxx.mat
# undersampling mask with long-axis view, the mask is fixed among different nc and nz. But the mask is interleaved along nt.
# 'xxx' is the corresponding undersampling scenarios. For example, 'ktUniform4' means uniform undersampling with temporal interleaving at acceleration factor 4x (ACS not included for calculations)
# variable name:
# "mask" for undersampling mask with temporal interleaving
# data type: 3D binary data with the dimensions (nx,ny,nt), the central 16 lines (ny) or central 16*16 regions (nx*ny) are always fully sampled to be used as autocalibration signals (ACS)
-nx: matrix size in x-axis (kspace)
-ny: matrix size in y-axis (kspace)
-nt: temporal/parametric frame


Metrics & Ranking

Metrics:
PSNR, SSIM and NMSE between reconstructed images and ground truth images (fully sampled data).

Ranking methods:
During the testing and ranking phase, we will invite three radiologists to independently score the top five teams ranked by SSIM. The scoring will cover three aspects: image quality, image artifacts, and clinical utility. We will consider both the radiologists' scores and the SSIM results to generate a comprehensive ranking. We will calculate PSNR, SSIM and NMSE for quantitative evaluations, while we only use SSIM as our final ranking score.
Participating teams are required to submit docker containers and process all the cases in the test set on our server. For the cases without valid output, we will assign it to the lowest value of metric.


Rules

1) To ensure the fairness of this challenge, you are only allowed to use the datasets provided by fastMRI, CMRxRecon2023, and CMRxRecon2024. Data augmentation based on the training dataset is allowed.

2) In TASK 2, participants are allowed to train only one universal model to reconstruct various data at the aforementioned different undersampling scenarios.

Submission

The submission instructions will be released on the Synapse platform.